牙齿,被严重低估的长寿器官!
「吃不动」「只是少了几颗牙」可不是影响吃饭那么简单。
你有没有注意到,家里老人随着年龄增长,常会念叨:牙口不好了。
🥩爱吃的排骨、猪蹄,啃不动了
🌰香香的坚果、肉干,嚼不了了
家里的饭菜,越做越软烂
甚至原本坚固的牙,也摇摇晃晃开始掉了……
有人可能会说:老掉牙嘛,正常的。
很多老人自己也不咋重视,觉得:只是一些东西不能吃嘛;只要不是特别疼,就都能忍一忍。

朋友们,真相恰恰相反!
世卫组织和疾控中心都提出过「80 岁保留 20 颗可用牙齿」的倡议:

作为身体最硬的器官,牙齿对健康大有帮助,可以说:
人年纪越大,嘴里的牙越多,越健康
甚至假牙都算!!

图片来源:网络
「牙口不好」不是衰老的正常表现,反而是衰老的加速器。
以为正常的「老掉牙」
其实暗藏 3 个健康风险
先看张图,你或许能直观地感受到
牙齿好坏对一个人状态的影响:

图片来源:LBR Dental & Implant Center
「吃不动」「只是少了几颗牙」可不是影响吃饭那么简单。
它背后可能隐藏着一些全身性的疾病,甚至引起一连串糟糕的连锁反应👇
风险 1 : 营养跟不上,人越来越虚弱,甚至增加死亡风险
以前老人能啃排骨、嚼坚果、开啤酒,现在只挑粥、面条和泡饭吃。
有研究提到[1]:牙齿松动、缺牙(少于 20 颗)、吞咽困难的人,最先放弃的食物通常是:
肉、坚果、蔬菜、粗粮......
这些可都是蛋白质、膳食纤维、维生素和矿物质的关键来源呐!


老人这个不能吃,那个嚼不动,长期能量和营养摄入不足,身体会越来越虚弱,加速骨骼、肌肉、器官的退化衰老。

多项研究还发现[2]:
牙周健康不佳、缺牙,与全因死亡率升高有关。
此外,咀嚼功能也大受影响,它可是关联到味觉嗅觉系统、神经活动、相关肌肉的重要活动。
一句简单的「嚼不动」,不仅会影响老人的营养状况,还会对大脑认知和心理健康带来负面影响。
风险 2 : 社交退缩,抑郁孤独风险增加
老年人吃东西觉得累,吃得更少、更单一
⬇️
体力变差、走路吃力
⬇️
以前经常跟老朋友们去打麻将、唠嗑
现在不爱动弹,就待在家里坐着.....
2024 年的一项研究发现[3],口腔功能较好的老年人,更容易维持社交互动,孤独感和抑郁情绪也更低;而存在口腔功能障碍的人,抑郁水平显著更高。


小红薯 @ 徐女士的中年之路
「老掉牙」还会从另一个方面影响老人的社交:怕讲话漏风、发音不清、吃不了东西麻烦、觉得缺牙不好看.......
原本跟老友亲人们很日常的聊天、吃饭、微笑,因为牙坏了,变成了负担。

更麻烦的是,情绪低落本身又会让人更不愿意护理口腔,形成恶性循环。💔
风险 3 : 大脑认知水平、记忆力下降
是的,牙齿状况,会影响到大脑。
一项纳入 424 万余名受试者的大型研究[4],从牙周炎、牙齿脱落、咬合支持和咀嚼能力四个维度,系统评估了口腔健康状况,发现:
口腔健康状况较差的老年人,
发生认知障碍的风险显著升高:
● 牙周炎:风险↑约 45%
● 牙齿缺失(掉牙):风险↑约 80%
● 咬合支持受损(后牙少、咬不住):风险↑约 87%
● 咀嚼功能下降:风险↑约 39%
*认知障碍包括轻度认知障碍、阿尔茨海默病和所有原因引起的痴呆
并且,牙齿数量越少,认知障碍风险越高。
可怕的是,很多老人或许看着状态还不错,感觉离衰弱、认知退化、抑郁等问题还很远,但已经潜伏的牙齿问题,可能正在偷偷造成伤害。

老年人本身容易口干(没有足够的唾液冲走牙菌斑)、自我修复力弱,牙齿更容易出问题。
一些慢性病,例如不少研究发现糖尿病可加剧牙周炎症,反之牙周炎也能影响血糖控制。
但牙齿不是一下子坏的,家里老人的牙齿状况,他们自己可能也不太清楚,或者不好了也忍着不说……
等我们发现的时候,可能已经挺严重了。
长辈的口腔问题,基本每个人都有!
越早越好治,越省钱
先说结论:我们的爸妈,爷爷奶奶们,几乎人人都有牙齿问题,都需要去看牙医。
老年人缺牙,最常见的两大原因是龋齿(也就是蛀牙)和牙周病。
中国老年人蛀牙的比例,比儿童还高[5]:
● 55~64 岁患龋率为 95.6%
● 65~74 岁为 98%
牙周病,例如牙龈炎、牙周炎,患病率也很高:从 35 到 74 岁,牙周健康率均不到 10%[6]。
并且年龄越大,得牙周炎的人越多,且越严重。
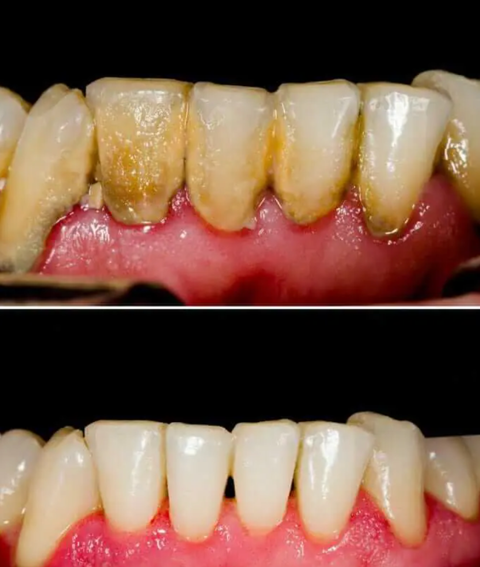
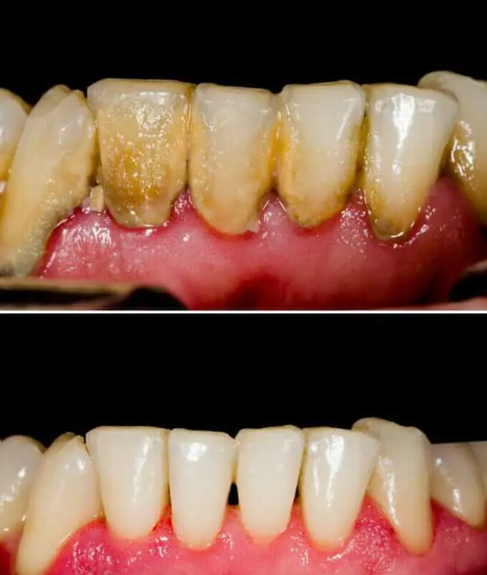
牙结石+牙龈萎缩的牙周病治疗前后对比图
老人人均牙齿不好,是个远被低估的、麻烦的健康问题。一定要提高警惕,早点找牙医治疗。
但更麻烦的,是劝爸爸妈妈、爷爷奶奶去看牙——
怕花钱、不想来回跑医院、怕疼不敢去.......


小红薯 @ 睡觉对我很重要
就像这个网友妈妈牙疼,拖到脸都肿起来,就是忍着不去医院,网友就一直发信息:

小红书@东京WOWO战斗版
为了更好地劝说家里长辈,
我们来帮他们算笔账~

图片来源:网络
牙齿问题,越早治疗,花费越少,我们根据牙齿情况给大家总结了个价格表:

牙齿问题,越早治疗,痛苦也越小:(例如一般洗牙就不怎么疼,但根管治疗从打麻药就开始疼了


还可以给家里老人,多看看治疗牙齿后的正面案例:
许多网友的家人种牙、洗牙后,精神面貌也有所不同,是一件非常值得高兴的事情!

@小红薯 大葱到处浪:说「爸爸洗完牙,他觉得自己浑身都散发着魅力」(已获得授权)
如果还是劝不动,那试试先斩后奏,告诉他们:
预约的钱已经花了!
不给退!
不去就浪费了!
你和家里的长辈牙齿健康怎么样?
在劝他们去看牙医的时候,
有没有遇到困难?
欢迎评论区分享!
日常生活中,也有一些口腔护理要注意的事项,有需要的直接保存、转发就好⬇️:

本文审核专家
参考文献


