马一旦骨折,真的就“没救了”吗?
为什么马一旦骨折,往往就意味着安乐死?难道真的没有救治的机会吗?
在观看赛马比赛时,令许多观众最为揪心的,可能就是马匹跌倒的生死时刻。作为马临床兽医,我常被问到这样一个问题:“为什么马一旦骨折,往往就意味着安乐死?难道真的没有救治的机会吗?”

跌倒的马匹在骨折严重、难以治疗时,很可能会对其进行安乐死。图源:bestfarmanimals
其实并非如此。治疗方案的选择,高度依赖于马的年龄、骨折的类型与部位,以及医疗条件。总体而言,一些相对容易固定的部位,如下颌、肋骨骨折或长骨的骨裂,只要救治及时、处理得当,且马匹性情温顺、能够配合治疗,预后通常比较理想。

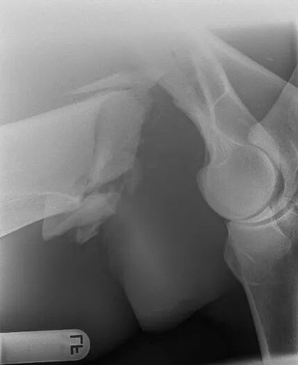
踢伤造成的马第四跖骨骨折。由于该处不直接负重、较稳定,一般休养3个月左右即可。 图源:王炜晗
真正的“噩梦”,是发生在负重部位的腿部骨折。受伤部位因承受着巨大的体重负荷,加之局部血供较差,常常以悲剧收场。
为什么马的腿部骨折往往会危及生命?要理解这一残酷现实,我们需要从骨折愈合的生物学原理、马腿的解剖结构,以及临床救治中所面临的巨大挑战分别说起……

伤筋动骨不止“一百天”?

俗话说“伤筋动骨一百天”。骨折的愈合是一个极为漫长的过程,这不仅适用于人类,也适用于马。所谓的“一百天”往往只是起步,骨骼完整的修复过程可能会耗费数年之久。
骨是活的器官,主要由钙质等无机物、成骨细胞和破骨细胞组成。破骨细胞分解旧骨,犹如“拆迁队”;而成骨细胞负责合成新骨,相当于“施工队”。骨的吸收与形成处于动态平衡,使骨能不断地自我修复并适应新的应力要求。

成骨细胞与破骨细胞协同作用,形成动态平衡
图源:clevelandclinic.org
骨折的愈合是个复杂的动态过程,骨折发生后,断端首先形成血肿,随后通过纤维肉芽组织形成初步连接。接着,断端周围会逐渐形成骨痂,通常需要3到6个月,才能实现临床愈合。之后还需数年时间,经过破骨与成骨细胞对骨痂进行改建,才最终形成更加稳固的骨结构。

踢伤造成的成年马桡骨骨折,外固定保守治疗,6个月后复查长出骨痂。图源:王炜晗
这场“重建工程”要想成功,最关键要素之一就是稳定。骨折端必须良好对位,并保持稳定,新生的脆弱骨组织和血管才能不被反复撕裂,从而顺利生长。
因此,骨折手术的本质是在帮助断端复位并维持稳定的状态——无论是采用内固定(如钢板、钢钉)还是外固定(如石膏、夹板),目的都是为了创造一个稳定的愈合环境。

对马腿部骨折采用一种临时固定夹板
图源:王炜晗
然而,由于马的身体结构具有很大的特殊性,当我们将这些原则应用于马匹腿部骨折时,经常会遇到一系列难以逾越的困境。

治疗马腿骨折,为啥这么难?

与人类用整个脚掌行走不同,马是依靠趾端奔跑的。它们的侧趾逐渐退化,仅保留发达的中趾。趾端被坚硬的蹄质包裹,以支撑全身重量。这样的结构极大地延长了马腿的功能长度,却也增加了其脆弱性,使骨折后固定的难度成倍增加。
成年马的体重往往超过半吨,现有的内固定方式,很难在承受如此巨大负荷和应力的同时,提供骨折愈合所需的稳定性。

马匹骨折后,通过钢钉固定骨碎片
图源:thehorse.com
此外,马的四肢远端缺乏肌肉包裹,血供本就不丰富。骨折后血供进一步受损,会导致其愈合能力变差,增加感染风险。

马肌肉结构图,四肢远端缺乏肌肉包裹
图源:equishop
感染是导致马骨折手术失败的常见原因之一。感染发生后,细菌会在钢板、钢钉等内植物表面形成一层生物膜。抗生素难以穿透这层膜杀灭细菌,骨折部位便会发生慢性感染,断端持续化脓、无法愈合。解决生物膜的唯一办法,往往是拆除植入物,但这一操作又会使骨折断端失去稳定——治疗陷入两难境地。
对于发生开放性骨折的马匹,手术部位感染的风险会显著增加,这往往意味着很差的预后和低成活率。
除了易感染外,骨折还可能导致致命的并发症。马的一条腿骨折无法正常负重后,全身重量将由剩余三条腿承担。久而久之,这些健肢极易患上蹄叶炎。蹄叶炎发作时不仅极度疼痛,若得不到有效控制,就会进一步导致蹄部结构破坏、坏死,甚至引发全身败血症,最终导致动物死亡。

严重的蹄叶炎可导致马蹄骨从蹄壁分离并向下沉,甚至可能穿透蹄底,造成难以想象的疼痛。通常这种情况会建议对马安乐死。图源:equicessities.ca
虽然我们可以采取一些措施,比如使用吊索将马吊起,以减轻蹄部压力。但长时间的悬吊又可能引发接触部位皮肤坏死感染,带来新的痛苦。

用吊索将马吊起以进行骨折修复
图源:Epsilon Archive for Student Projects
还有一个影响愈合的重要因素是:马并不理解“骨折需要静养”这回事,它们只会因腿部的异常而感到惊恐,本能地想要逃离危险。人类骨折后可以遵医嘱卧床休养,但马在术后从麻醉中苏醒时,却会因本能恐惧而试图立刻站起,并在慌乱中下意识地使用伤腿。
这个“苏醒期”极为凶险。此时麻醉药物尚未完全代谢,动物无法精准控制四肢,刚刚复位固定的骨骼和固定装置,在这一刻面临着极限考验——手术成果可能在瞬间前功尽弃,甚至引发更严重的二次骨折。而即便成功度过苏醒关,在漫长的愈合期内,要让一匹马完全不使用某条腿,也几乎是一项“不可能完成的任务”。

一匹马在麻醉苏醒过程中发生肱骨粉碎性骨折
图源:王炜晗
假如通过一些手段,比如麻醉、镇静、甚至物理按压的方式强制马一直卧倒,也可能带来很多问题。
首先就是肌肉的压迫、缺血、坏死,神经麻痹。时间较长时,马的呼吸系统也会出现问题:被压那一侧的肺部容易出现通气不足;由于鼻孔离地面更近,马匹吸入颗粒物会变多;卧倒的姿势不利于呼吸道黏液排出,容易发展为肺炎……长期卧倒还会导致马的胃肠道蠕动变差,出现肠道堵塞等严重情况。

如何预防马的骨折?

鉴于马腿骨折后,预后往往严峻,防患于未然就显得尤为重要。苏黎世大学一项研究显示,在接诊的1144例马骨折病例中,其实有43.6%都是由于被其他马踢伤所致。

踢击是马类打斗时的主要进攻手段
图源:ourplant
马作为群居动物,群体内部存在严密的等级关系。当新马入群时,常会通过打斗重新确立地位层级,而“踢”正是马匹之间主要的进攻手段。装有蹄铁的马,杀伤力则会更大。因此,应尽量避免将不熟悉的马匹放在一起放牧,同时将公马与其他马隔离,从源头上减少冲突的发生。
与此同时,我们也需要通过科学规律的训练,增强马匹的骨骼与肌肉系统。长时间关在马厩中、缺乏运动的马容易发生骨质疏松,此时若突然开始运动,极易引发骨折。
部分常见训练方法(左滑):打圈(图一)、地杆训练(图二)以及拉伸训练(图三)。图源:horseillustrated
规范的蹄部护理同样不可忽视,它能够有效维持马匹的身体平衡与运动稳定性,在一定程度上降低受伤的风险。

马蹄修剪不及时、蹄铁不合适,都会增加马匹跌倒的风险。应定期由专业人士进行马蹄修剪,以及蹄铁的检查和重装。图源:图虫创意
场地不平整等环境因素,也会显著增加马匹骨折,及肌腱韧带损伤的风险。因此,必须全面排查环境中的安全隐患,定期对场地进行检查与维护,及时修复坑洞、损坏的下水道盖板,改造湿滑的地面。在装卸车、运输等高风险环节中,也应提前做好防滑、防摔等措施,最大程度降低意外发生的可能。

定期平整,维护场地,使其提供足够的缓冲和弹性,保障马匹运动安全。图源:greystone-usa
此外,我们还可以通过PET(正电子发射断层扫描)检查等方式,提前发现马匹骨骼中细微应力性损伤,在灾难性骨折发生前发出预警,从而帮助预防悲剧发生。

应用PET技术扫描马匹腿部
图源:UC Davis School of Veterinary Medicine
马腿部的骨折之所以如此致命,根源在于其演化赋予的卓越奔跑能力,与相应的生理脆弱性之间存在着根本性矛盾。成功治疗不仅需要及时有效的干预,更考验着马匹能否安全度过漫长而痛苦的愈合期,并避免一系列连锁的致命并发症。
虽然马腿部的骨折,并不就等同于死亡判决,但其治疗的过程,却往往是一场在动物福利、医疗技术与经济投入之间的艰难权衡。


