这种增高神器全网都在按头安利,但我劝你千万不要穿!千万不要
无论你是男是女,过了 18 岁,最多 22 岁,骨骺线就彻底闭合了:从此身高定型、身材比例定型。
无论你是男是女,过了 18 岁,最多 22 岁,骨骺线就彻底闭合了:从此身高定型、身材比例定型。
还想长高?目前医学上唯一可行的方法,是断骨增高术。一种通过骨切开+外固定器牵拉,让骨头重新生长的手术。风险极高、创伤极大、国内禁用。
骨科医生常开玩笑,谁能研发出让成年人「无痛增高」的秘诀,拿个诺贝尔奖也没问题。
医院都没办法,但网购平台有,一年卖出约 38.6 亿人民币,你一定听说过它——增高鞋垫。
150 cm 变 170 cm,还显腿长和腿细
谁看谁不动心?

图片来源:网购平台
这种「增高神器」卖得有多火爆?看看你身边那些大热天还在坚持穿高帮帆布鞋、马丁靴的朋友就知道。
别怀疑,TA 很可能是顶了个「假身高」
be like


一些爱穿内增高的朋友透露
靴子是所有鞋子里最适合垫内增的版型
内增高现在的销量大得惊人。有数据显示,光 2024 年一年,增高鞋垫在中国就卖出了 9200 万双,平均每秒就有 3 双被塞进鞋里。[1]
在主流电商平台上搜索「内增高」
会看到成千上万的爆款单子

图片来源:网购平台
但!很多人没想到的是,这个看似帮我们快速变美、变高的作弊神器,却是伤害你的足底筋膜脚踝膝盖骨盆乃至腰的大杀器。
轻则害你脚痛、脚麻、长鸡眼,患上足底筋膜炎;
重则改变全身重心和下肢力线,诱发膝关节软骨磨损和膝前痛,甚至导致腰肌劳损,颈痛肩痛背发麻。
长期穿增高垫的人
我愿称之为「全世界对自己最狠的人」!

图片来源:小🍠
「无痛」增高鞋垫
痛的是你的脚
内增高,其实是一种非常反人类的设计。
穿着它走路时,不仅你的走路姿势会变得和平时不一样,脚部受力用力都会和平时不同。
它的本质,相当于前低后高的「坡跟鞋」,将你身体重量更多地压向前脚掌,受力集中于前脚掌脚趾根部。


图片来源:网络+文献
现有研究发现,内增高鞋垫每增加 3 mm,前脚掌骨骼承受的负荷会增加 4%~6%。[2]
穿上它走路,表面看,身材再五五分的小个子,都能立刻收获黄金比例、前凸后翘。
实际呢?鞋垫越高,脚跟越轻、前掌越重,脚越「外飘」。

图片来源:参考文献
大量临床案例表明,前脚掌压力过大,容易增加跖骨痛风险。
平时行走都够遭罪的了,要是还穿着它上下班地铁通勤、外出特种兵旅行,前脚掌跖骨区域势必会产生火辣辣的灼热、疼痛感。
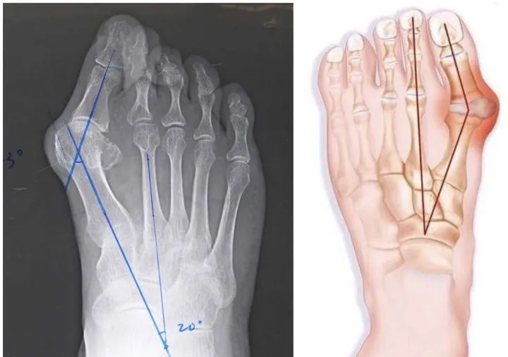
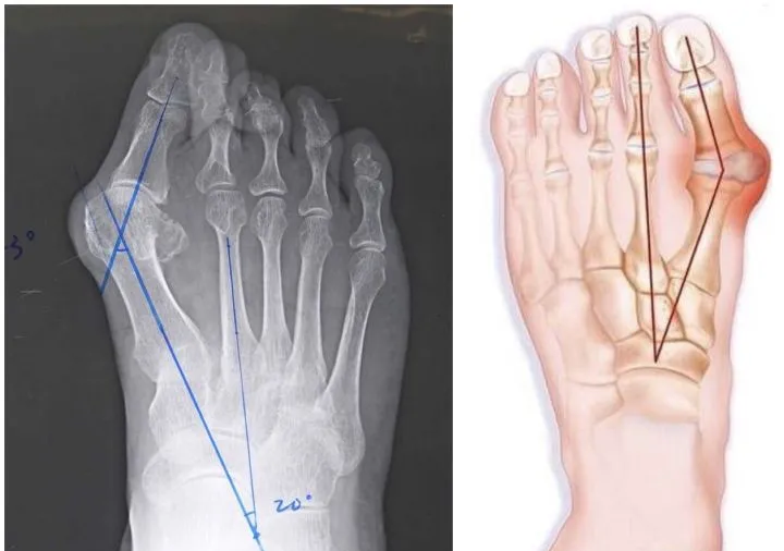
倘若再配上窄鞋头,脚趾头严重受到挤压、弯曲异常,还会加剧「拇外翻」的形成。

X 线片中可明显看到踇外翻的结构改变
穿增高鞋垫,还会给你的脚带来更多不幸——足弓首当其冲。
如果把人比作一栋漂亮的建筑,足弓就好比是建筑的地基。内增高改变了足底的自然受力分布,让足弓受力异常。甚至出现「悬空状态」,如同一整天保持芭蕾舞姿势。
足底筋膜被拉长,足弓高度减少,足底筋膜炎、足弓塌陷的风险都会蹭蹭涨。
生产内增高的商家嘴是真严啊
危害是一点儿不说啊!

图片来源:表情包
直播间广告里的增高鞋垫:
小个子的神!暴走一万步很舒服!
真实的内增高受害者:
《从百草园疼到三味书屋》
增高垫毕竟是增高垫,即便塞宽阔得能塞下三室一厅的靴子,同样会被挤压鞋内空间。在持续的过度摩擦中,脚丫子逐渐崩溃,水泡、硬茧和鸡眼等「工伤」也将找上门。
同时,内增高会大大削弱你对足部的控制,脚踝的自然角度和重心都会被改变,踝关节的稳定性也大打折扣。
行走时,更容易脚踝内翻或外翻,出现跌倒或扭伤。[3-5]
骨科医生问你怎么骨折的?
答:从鞋上摔下来的……


be like
图片来源:表情包
内增高,还可能伤腰
堪称「牵一发动全身」
以为只是脚丫子受罪?
真相是,你的全身关节和肌肉的受力都会被改变,主要表现在肌肉代偿和步态变化。
膝盖、骨盘乃至腰,都可能一步步坏掉,好比多米诺骨牌。

● 跟腱长期紧张和缩短,增加患「跟腱炎」风险。
长期把内增高当义肢穿、365 天和它相濡以沫,殊不知跟腱长期处于缩短状态,可能导致跟腱紧张、僵硬,引发跟腱炎。
● 膝关节承受更大压力,增加患「膝关节炎」风险。
内增高改变了身体的重心和下肢的力线,特别是髌股关节。经常穿,还会加速膝关节软骨磨损,诱发或加重膝前痛。
● 骨盆前倾、下背部疼痛和腰肌劳损——
为了在坡面上保持平衡,身体会不自觉地调整姿势,常见的就是腰椎过度前凸和骨盆前倾。长期保持这种姿势,腰椎后方的小关节和韧带承受过大压力,下背部疼痛,还会诱发腰肌劳损。
从足底开始的力线改变向上传导,还将影响整个脊柱的排列,可能导致姿势不良、颈肩背部肌肉紧张酸痛。

图片来源:irasutoya 二创
更让人意外的是,常穿内增高,还会导致小腿变粗、变弯。[6]
静脉内压力增高,小腿肌肉泵功能和静脉回流受影响。为了维持在内增高上的平衡和行走,你的小腿肌大腿后侧肌群、核心肌群等都需要额外发力进行代偿,可不就导致这些肌肉过度疲劳和紧张。
内增高只是狡猾地让你表面看起来,腿更长、更细,实际却让身体重心往前脚掌移,过度激活小腿肌肉,反而让腿更粗、更弯。

图片来源:站酷海洛
一个接一个,全是从脚开始的连锁反应,这些,内增高的广告都没有告诉你。
更值得我们警惕的是,除了增高鞋垫这个单一的品类外,整个「内增高鞋」市场都在扩张,且受众越发年轻化。
有报告指出,国内主流电商平台销售数据显示,单是 2024 年一年,内增高鞋品类年销售额就突破 35 亿元,其中,Z 世代消费者占比达 63.2%。[1]
越是年轻、骨骼还处于发育期的青少年,长期穿内增高,危害越大。足部和下肢骨骼的正常生长和力线受影响,不良步态习惯更易形成,足底对地面的感知能力也会降低。
此外,这些人穿内增高受害风险也会更高:
🙅♀️ 本身有足部问题者,如扁平足、拇外翻、足底筋膜炎、跟腱炎等,穿内增高会显著加重症状。
🙅♀️ 体重较大者,体重增加对足部、膝盖和腰椎的压力会放大。
🙅♀️ 平衡能力差者,如老年人或有神经系统疾病的人。
🙅♀️ 需要长时间站立或行走者,累积效应更明显。
塞个增高鞋垫,只需要 1 秒,但它带来的骨骼和体态问题,却可能跟着你很久很久。
不知道还有多少人,正在被这种「增高神器」的宣传诱惑,你身边的家人、朋友在穿内增高吗?
请让更多的人,知道这种美丽背后的代价。

