脖子总是黑黑的洗不干净?别大意,这可能是身体在“求救”!
最近,福建福州的一则新闻引发关注,冲上了新浪热搜。原来是一名 13 岁男孩,家人发现他的脖子总是黑黑的。原以为是“不爱干净”,便反复清洗,可脖子依旧黑。

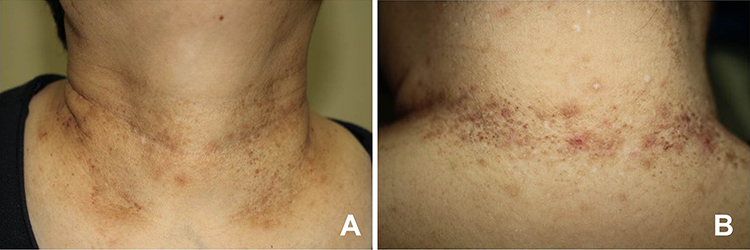
什么是黑棘皮病?
· 有色素沉着,颜色变深(灰色或者褐色),甚至发黑。
· 病变的皮肤粗糙、增厚,像棘皮一样,仔细看的话,会有许多细小乳头状突起,触感柔软,犹如天鹅绒一般。
· 另外,它的位置很有特征性,特别容易出现在脖子,左右对称。除了脖子外,还常见于腋窝、腹股沟、乳房下等皮肤褶皱处。
左滑查看更多。图 2、3. 典型的黑棘皮病(来自参考资料)
黑棘皮病不能小视
可能是疾病甚至癌症信号
1
肥胖
2
内分泌疾病
3
药物副作用
4
恶性黑棘皮病
· 黑棘皮病短期内迅速出现
· 范围很大,不仅限于脖子等个别部位
· 甚至黏膜、手掌、脚底都出现病变
· 伴随有不明原因的消瘦
这些“脏脖子”,不是黑棘皮病
1
晒黑
2
“脏颈征”
左滑查看更多。图 4. “脏颈征”(来自参考资料)
3
颗粒状角化不全
左滑查看更多。图 5. 颗粒状角化不全(来自参考资料)
4
Terra firma-fome 皮病
左滑查看更多。图 6. Terra firma-fome 皮病(来自参考资料)
参考文献







