皮肤上突然冒出的小肉丁,到底是什么啊?
有时候突然发现自己腋下、脖子等皮肤上,长了一些小肉丁,上网一搜不得了!
有时候突然发现自己腋下、脖子等皮肤上,长了一些小肉丁,上网一搜不得了!
有说是疣,有说是瘤,还有人说是 HPV 感染,会传染,揪一个长一片……


图片来源:网络
虽然不痛不痒的,但要是长在显眼处,确实有点影响美观。
加上网上总有各种「是脏病」「会传染」的说法,让人担心自己是不是接触了什么不干净的人或事,又害怕自己被别人误会,遭人嫌弃,一旦发现了就想「除之而后快」。
社交平台上的「治疗经验」分享,五花八门
但基本不建议


图片来源:网络
别慌,皮肤小肉丁有很多种情况,也不都是会传染的,不是什么大病,正确处理是可以消灭掉的。
今天我们就来说说清楚。
这两种小肉丁不会传染
也不影响健康,不用太担心
01
软纤维瘤
这名字听起来比较吓人,其实不可怕。
软纤维瘤是皮肤真皮胶原纤维的一种良性增生,又叫纤维上皮性息肉、皮赘、软瘊。
图片来源:《中国皮肤病性病图鉴》(第三版)、《实用皮肤病性病图鉴》
常见部位:
主要出现在脖子、腋窝、胸部和肩背部,一般不会长在脸上。
典型外观:
它长得有点像压扁的小蘑菇,小到针头、大到红豆大小,表面光滑,肤色或者浅褐色,摸起来是柔软的。
有些皮赘会有细长的蒂与皮肤相连,如果蒂扭转有可能会变成红色或黑色。
发生原因:
软纤维瘤的形成原因可能与摩擦、皮肤刺激、皮肤老化或激素变化有关,但具体机制尚不完全清楚。
易发人群:
它比较常见于肥胖患者、糖尿病患者、中年或老年人。
孕期或哺乳期的妇女,工作压力大、睡眠不足、免疫力较差的年轻人也可能会出现类似的情况。
有数据统计,50% 的成人会出现软纤维瘤,有一定遗传性[4]。
处理建议:
一般来说不痛不痒,不影响健康也没有传染性。
如果长在不是很显眼的地方,也不是很大一片,那几乎对健康和美观都没什么影响。如果是孕期冒头的,孕期结束后还可能会自然消退。
如果是长在比较明显的脖颈处,实在看它们不爽,那最好的方式是去医院挂个皮肤科解决。
较小病变可从基底部剪掉,较大的病变可局部麻醉后切除、缝合。也可选用液氮冷冻,激光,电干燥术等。
02
脂溢性角化
如果摸起来硬硬的,没有明显蒂状,那可能是另一种皮肤问题:脂溢性角化病,俗称老年疣。
图片来源:《中国皮肤病性病图鉴》(第三版)、《实用皮肤病性病图鉴》
典型外观:
刚开始可能只是一些近圆形的棕褐色斑块,随着年龄增长,斑片会逐渐变大、变厚,表面覆盖一层油性鳞屑,形成突起,后期看起来就像是一块厚厚的痂皮。
形成原因 & 常见部位:
脂溢性角化病是角质形成细胞成熟迟缓所致的一种良性表皮内肿瘤,多出现于曝光部位,比如脸颊、太阳穴、脖子、前胸、手背上。
易发人群:
顾名思义比较常见于老年人(实际上青年人、中年人中也可以看到)。
处理建议:
它一般不会恶变,但也不会自愈,觉得影响外观可以去医院治疗,包括冷冻、激光、电离子等。
注意⚠️:
不过,脂溢性角化很容易和日光性角化症弄混,后者可能会出现恶性病变。
所以如果出现这两种情况,就要引起重视了,建议立刻前往医院:
1. 全身多部位爆发;
2. 刺痒、发红、破溃;
这几种小肉丁要注意,可能会传染
还有一些皮肤疣,长相上和上面两种有些类似,不过它们或多或少具有传染性。
虽然大多数并不是什么严重疾病,但为了避免在自己身上越长越多,也为了避免传染他人,发现了建议及时去看医生解决。
01
丝状疣
如果皮肤上长的是这种表面粗糙不光滑,像丝线或者好几个指头缠在一起的小肉丁,那大概率是丝状疣。
图片来源:何春涤、张学军主编《皮肤性病学图谱》
典型外观:
丝状疣通常呈现为细长、指状的突起,可能单独存在或聚集成簇,比较多见的是肤色或者棕灰色,也偶尔有黄色、粉色的。
发生原因:
这是人类乳头瘤病毒(多由 HPV-2 或 HPV-4 型)感染引起的良性皮肤增生。
常见部位:
脸上、眼睑、嘴唇、下巴、脖子、手指和腿都有可能发生。
处理建议:
别害怕,丝状疣一般不会恶变,不会传到生殖器部位引起尖锐湿疣,也不用担心增加宫颈癌的风险。
但它有轻微的传染性,如果皮肤刚好有损伤时,可能会通过皮肤接触传播到身体的其他部位,也可能通过接触传染给其他人。
如果确诊丝状疣,要尽早去医院处理掉。
避免反复搔抓皮肤破坏屏障,保持良好的个人卫生习惯,避免粗糙衣物频繁摩擦,降低传染风险。
注意⚠️:
丝状疣平时不痛不痒的,触碰摩擦时可能有轻微痛感,千万不要去抓挠、尝试手动揪掉,也别听信什么「用头发丝绑住绞死」之类的互联网偏方。
因为它真正的病变在根部,揪掉顶部小肉丁,等于直接打开了根部病灶的大门,把病毒释放了,增加传染风险。
02
传染性软疣
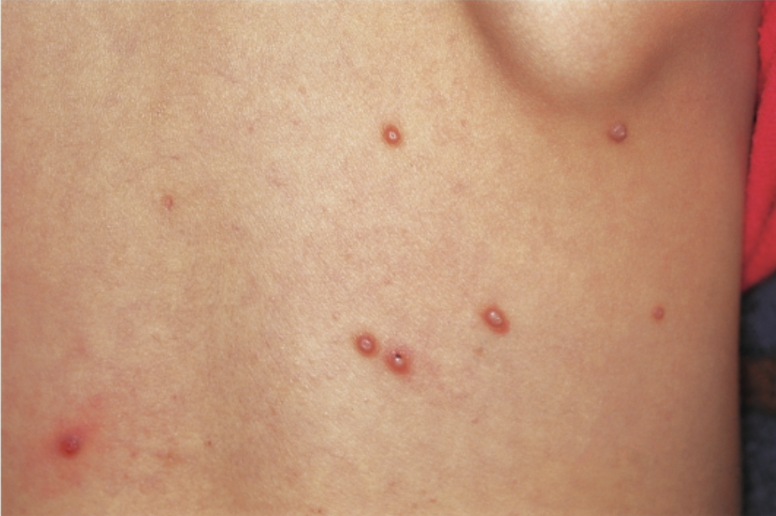
这种圆圆的、看起来有点像水泡(实际是实心的),又有点像痘痘,顶部靠近中心处有小凹痕或圆点,摸起来有点硬硬的,是传染性软疣。
图片来源:《中国皮肤病性病图鉴》(第三版)、《实用皮肤病性病图鉴》
典型外观:
一般是 2~5mm 大小的半球形丘疹,表面光泽,可能呈现肉色、珍珠色或粉红色。
如果不小心挤破,可能会流出奶酪状的白色物质,这其实就是病毒的「大本营」。
大量的病毒聚集在此,所以我劝你住手——
千万不要挤!
易发人群:
传染性软疣常见于儿童和年轻人,尤其是 1 至 10 岁的儿童。
此外,免疫系统功能低下的人群,如 HIV 感染者、接受器官移植者、癌症患者等,也更容易感染。
患有特应性皮炎(湿疹)的人群也更容易感染传染性软疣,因为皮肤屏障不完善、持续的炎症反应为病毒提供了入口。
发生原因:
传染性软疣是由传染性软疣病毒感染导致的,有一定的传染性。挤破了可能导致病毒传播到附近皮肤,或者感染其他物体造成间接传染。
之前有小朋友去水上乐园玩耍后,回家发现身上长了一片「小痘痘」,不排除就有传染性软疣的可能。
性接触也是成人感染的一个途径。
常见部位:
在儿童中,传染性软疣常见于面部、躯干、手臂或腿部。
在成人中,如果是通过性接触传播,可能出现在生殖器、下腹部或大腿内侧。
处理建议:
虽然传染性软疣具有一定自限性,部分人可以靠身体自己好,但需要时间较长,一般自行消退需要 6~24 个月不等甚至更长,在此期间还是有播散到自己其他部位皮肤或者传染他人可能。
所以如果本身有特应性皮炎、免疫抑制状态等情况,或者经常要与人密切接触,比如正在上幼儿园的小朋友,有性伴侣,还是推荐到医院积极治疗。
治疗可以直接祛除软疣,常见的治疗方法包括药物治疗、刮除/夹除术、冷冻疗法、激光治疗等。
03
尖锐湿疣
这可能是大家最害怕的情况了。
(这里没有配图,也不建议上网搜)
发生原因 & 易感人群:
尖锐湿疣又称为肛门生殖器疣,是人乳头瘤病毒(HPV)引起的,男性女性都有可能感染,除了性传播外,口、手和生殖器接触也可能传染,或通过胎盘、阴道分娩传染。
典型外观:
民间俗称「菜花」,顾名思义,因为它看上去就像一个肉做的小小花菜。常见于生殖器、肛门及周边皮肤、粘膜上,也可能会长在腹股沟或者会阴处。
一般没有症状,或只有轻微瘙痒,但当疣体增大到一定程度以后,可能会因为摩擦、破溃等原因引起疼痛。
处理建议:
如果发现私处有类似的,也先别慌,还有一种长相相似但完全不同的情况:假性湿疣。
假性湿疣其实一种良性增生性疾病 ,是正常的生理变异,不会传染,一般也不会恶变,不需要特别担心。
如果无法判断,那么直接看医生检查更加稳妥,早发现早诊断早治疗。
一张图梳理小肉丁区别:
最后,我们用表格的形式,来梳理小肉丁们的区别——
(可点击图片放大查看)

图源来源:丁香医生设计团队
如果出现了类似的皮肤小肉丁,自己无法辨别,那么最快速的方法就是去咨询一下皮肤科医生,明确原因后,好进行后续妥当的处理。
不管是什么先别吓自己,尤其不要暴力揪掉。










