身上突然冒出来的小红点,到底是啥啊?
朋友,你有没有发现: 不知道从何时开始,身上总会冒出一些大大小小的红点。 喏,小的长这样,大一点儿的颜色可能更鲜艳——
朋友,你有没有发现:
不知道从何时开始,身上总会冒出一些大大小小的红点。
喏,小的长这样,大一点儿的颜色可能更鲜艳——


图片来源:同事长的
这会儿,你也可以找找看,自己身上有没有(办公室同事竟然都有。
小红点虽然不痛不痒,但隔一段时间就会冒出新的,不免让人担心起来。
有人说出现它,是衰老的标志。
😨😨
还有人表示,是肝脏出现了问题,得赶紧去医院:
😨😨😨
听到这,很多人慌了。
身上突然冒出的小红点,
大概率是血管痣
别慌:
身上突然冒出来的这种小红点,大概率是「樱桃状血管瘤」,俗称血管痣。
图片来源:《中国皮肤病性病图鉴》(第 3 版)
看到名字更慌了。
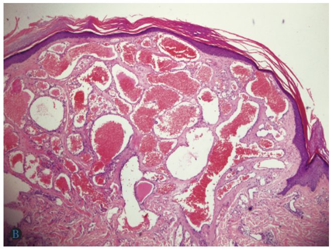
它的名字看着可怕,但不是痣更不是瘤,只是皮肤表面毛细血管扩张和增生产生的红点。

图片来源:参考文献 2 - 樱桃状血管瘤病理图
血管痣的外观特征明显,很好区分和判断。如果大家有现成的,可以对照一下[1]——
1. 主要长在躯干或上肢,面部、腿部基本没有。
2. 刚开始是扁平红点,部分会长成 1~5 毫米的鲜红色圆顶状丘疹
3. 边界清晰,按压后不褪色。
4. 没有瘙痒和疼痛,一般不会自行消退。
要先明确的是,血管痣不是肝脏问题的信号,只是正常的生理现象。
👌👌
它的存在,对身体也没有危害,更不会恶化,不需要就诊和处理。
其次,它也不是身体衰老的标志。
👌👌👌
从数据来看,这种血管痣虽然在老年人身上更常见,数量更多,但并非他们的专属。
实际上,约 5% 至 41% 的人在 20 多岁时就会开始出现血管痣[2]。
也就是说,你身上的小红点,可能从 20 岁,甚至更早就有了。
当然,如果你觉得它的存在影响到自己,可以去皮肤科进行激光治疗,很方便。
有些小红点可能是病,
最后 1 种尤其注意
除了血管痣,大家身上可能还有各种叫不出名儿的「小红点」。
有些小红点真是身体的毛病,尤其是最后 1 种,如果短期内大量出现,及时去医院检查。
➊ 毛囊炎
主要是细菌感染毛囊导致的炎症,它的典型样子是粟粒大红色毛囊性丘疹,顶端化脓形成小脓疱,伴有痒、痛。常见于头皮、面部、颈部、外阴等位置。
图片来源:《皮肤性病学》(第 2 版)、《中国皮肤病性病图鉴》(第 3 版)
数量较少的情况下,首选外用抗生素软膏;如效果不佳,由皮肤科医生根据情况评估是否需要口服药物或理疗。
另外,毛囊炎还可能升级成严重版,比如毛囊深部及周围组织感染,形成的红色硬结或包块叫疖(jiē);很多毛囊感染融合而成,表现出现脓栓叫痈(yōng)。
图片来源:《中国皮肤病性病图鉴》(第 3 版)
如果出现皮损变大、肿痛、发热等症状,一定要及时去皮肤科就诊。
注意,危险三角区的疖千万别用手抓,以防颅内感染。
➋ 紫癜
紫癜,是一种皮肤或黏膜的出血性损害,会出现密集性的小红血点,按压不褪色。
根据成因不同,紫癜分好几种,常见的如压力性紫癜、过敏性紫癜、色素性紫癜。
其中压力性紫癜,就是短期内的头面部血管压力增高,导致毛细血管破裂形成小血点。一般在剧烈咳嗽、呕吐、大哭之后容易引发,一段时间后会自行消退,不用担心。
图片来源:《中国皮肤病性病图鉴》(第 3 版)
色素性紫癜从样子上看,它的红色淤点会融合成片,向外扩展,可能会轻微发痒。它对健康的影响也不大,具体可以去医院进一步评估。
图片来源:《皮肤性病学》(第 2 版)
需要关注的是过敏性紫癜,和前两者不同,它是一种血管炎。主要出现在双下肢,呈现出血性的斑丘疹。它对健康有一定威胁,需要去皮肤科就诊,去除病因。
图片来源:《皮肤性病学》(第 2 版)
➌ 蜘蛛痣
最后一种,蜘蛛痣,属于血管病变,但发病机制还未完全明确。
一般中央会有略隆起的红点,向四周有放射状的毛细血管,形状像蜘蛛。
用力按压中心的隆起处,周围的条纹会消失褪色。
图片来源:站酷海洛、《中国皮肤病性病图鉴》(第 3 版)
它可能会出现在健康人群,比如儿童、妊娠女性,一般妊娠女性生产后 2 个月后会自行消退。
一般健康人群身上的蜘蛛痣不用担心,如果觉得影响美观,可以进行激光或电解术治疗。
但要注意,它也可能出现在肝病患者身上。
如果发现短期内蜘蛛痣大量增加,还伴随以下情况,一定要及时去医院明确病因:
全身乏力、疲劳或浮肿;
全身皮肤或巩膜发黄;
食欲减退、厌油腻食物、恶心、呕吐、腹胀等;
牙龈易出血、鼻血、紫癜等;
少尿、黑便、呕血等。
这几年,大家越来越关注身体出现的「小变化」,这是好事。
对身体的变化不确定时,最好的办法就是少猜测,少焦虑,寻求专业医生的帮助,而不是盲目缓解或去除。
如果你的亲朋好友正在为身体的小红点疑惑,不妨 转发 给 TA,一起先对照看看。















