这些腐蚀牙齿的饮料,你可能每天都在喝!(不只有可乐)
炎炎夏日,来一瓶冰镇可乐,那种透心凉的感觉真爽啊!如果要大家票选和夏天最配的饮品,排在前几位的少不了它们:碳酸饮料、柠檬水、鲜榨果汁、冰红茶、冰咖啡。但需要注意的是,在畅饮这些饮品的同时,也需要关注咱们的牙齿。因为一些饮品会在不知不觉中腐蚀牙齿坚硬的外壳,增加龋齿(虫牙)和酸蚀症的风险。
炎炎夏日,来一瓶冰镇可乐,那种透心凉的感觉真爽啊!如果要大家票选和夏天最配的饮品,排在前几位的少不了它们:碳酸饮料、柠檬水、鲜榨果汁、冰红茶、冰咖啡。

图库版权图片,转载使用可能引发版权纠纷
但需要注意的是,在畅饮这些饮品的同时,也需要关注咱们的牙齿。因为一些饮品会在不知不觉中腐蚀牙齿坚硬的外壳,增加龋齿(虫牙)和酸蚀症的风险。
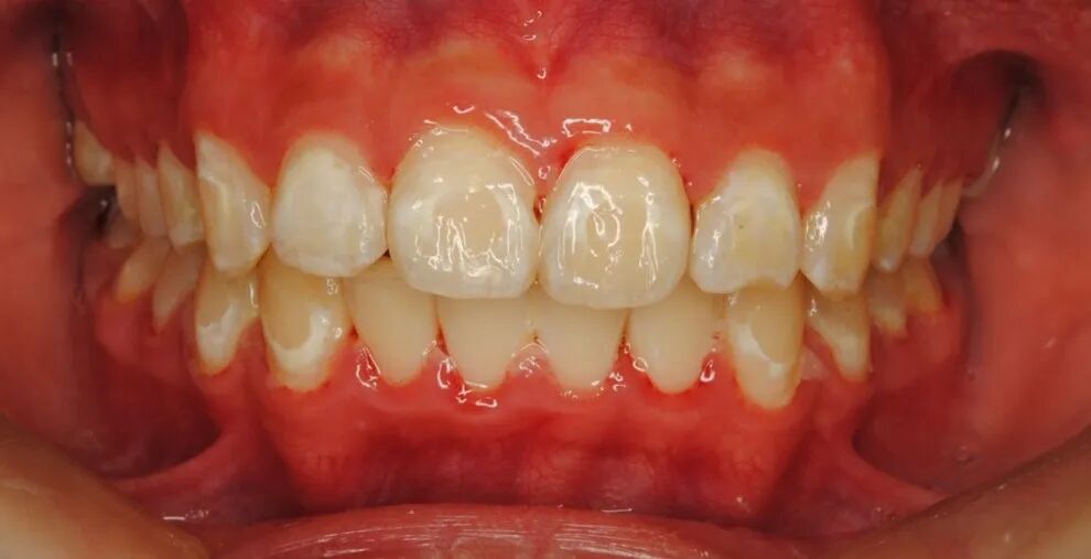
酸性饮料是如何腐蚀牙齿的?
牙釉质是牙齿的第一道防线,是牙齿表面最坚硬的外壳,它是由 95%~97%的无机物(主要是含钙磷的羟基磷灰石)和少量水及有机物组成。

而牙釉质脱矿就是牙齿被破坏的第一步,任何可能导致牙釉质脱矿的因素都会增加龋齿和酸蚀症的风险。
学过化学的朋友们都知道,钙磷无机物晶体质地坚硬,耐磨耐造,但它的天敌就是酸!酸可以轻松溶解这些羟基磷灰石晶体,造成牙釉质表面脱矿,孔隙变大,硬度降低,导致釉质本身变薄变少,还能开辟细菌侵入的通道,增加龋坏风险。
但是咱们口腔防御机制也不是吃素的,有一定的自我纠错和修复功能。牙齿长期浸泡在唾液里,唾液中含有大量的钙磷离子(且往往浓度高于牙面),可以随时往牙面上沉积,重新形成新的羟基磷灰石,弥补之前脱矿造成的钙磷损失,形成动态平衡。

牙釉质脱矿(龋病) 来源:卓正医疗王羽医生病例

哪种饮料对牙齿危害最大呢?
如何饮用可以减少饮料
对牙齿的伤害?
1.使用吸管饮用,减少饮料中酸与牙面的接触;
2.降低饮用频率,避免牙齿反复浸泡在酸性环境内,为唾液的碱性缓冲和再矿化提供时间;
3.饮用后漱口(纯净水或自来水),或再喝一点纯净水或苏打水,减少口内残留酸性物质;
4.建议餐间或餐后 2 小时内饮用,可以搭上食物消化时口内 pH 下降的班车;尽量避免两餐之间随时饮用,避免睡前饮用;
5.饮用完酸性饮料后半个小时再进行刷牙,使用含氟牙膏促进再矿化;
6.纯鲜榨果汁可以适当添加水,降低酸的浓度再饮用;
7.喝咖啡的时候可以加入纯牛奶。牛奶里的蛋白质和钙能“中和”咖啡里的酸,也可以减少色素在牙面的沉着;
8.做好牙齿清洁,早晚刷牙,饭后漱口,使用牙线。这点很重要!
仅仅是饮料中的酸导致牙釉质脱矿是不会形成龋洞的,还需要后续致龋细菌的侵入,不断代谢产生新的酸,才会破坏牙齿结构形成龋洞。并且牙面附着的菌斑会阻挡唾液与脱矿牙面接触,使得唾液再矿化的能力无法发挥。所以,做好牙面清洁、控制牙面菌斑才是预防龋齿的根本。

