1948年:化学家

**米勒和DDT(网络图)**
 

1948年,诺贝尔生理或医学奖破天荒地颁发给了一名化学家:保罗·米勒(Paul Hermann Müller)。

故事开始于1874年,那一年,德国化学家偶然合成了一种新的物质,随后,像大多数新生事物一样,每个人都在问,“这玩意儿有什么用啊”。问了几十年,谁也没发现它的用处——直到米勒把它喷到蚊子身上。这种物质,就是双对氯苯基三氯乙烷。你可能更熟悉它的另一个名字,DDT。
疟疾的危害的有多大呢?1947年,印度一共出现7500例患者,平均每钟两个,超过80万人因此死亡。动物的行为,总离不开神经;而DDT可以干扰蚊虫的神经系统,让它们也变得“古怪”,先剧烈痉挛,然后逐渐麻痹,最后走向死亡。随着DDT的运用,到了1965年,印度新增的疟疾患者不到10万,死亡的人数更是接近于零......

详细<<<

1973年:动物学家

**蜜蜂的舞蹈(图片来源于网络)**

1973年的诺贝尔奖生理或医学奖颁发给了三个动物学家: 尼古拉斯·丁伯格(Nikolaas Tinbergen),卡尔·冯·弗里希(Karl von Frisch),康拉德·洛伦兹(Konrad Lorenz)。
他们有的研究蜜蜂的舞蹈,有的研究鸭子、大鹅,却从不同角度出发,得到了相似的结论:动物存在一些固定的行为模式,而这些行为模式,可能会在社会压力下发生改变。《猫和老鼠》里有一集,杰瑞捡到一枚鸟蛋,小鸟出生之后第一眼看到它,便认为它是自己的母亲;小鸟行为,也越来越像老鼠。

这跟人类的健康有什么关系呢?我们身上,也有着固定的行为模式。婴儿出生不久,就能辨认自己的母亲,等大一些,他们见到母亲时,会微微张开双臂、做拥抱状。如果这些亲密的需求得不到满足,他们成年后的行为便可能出现异常。更进一步说,高血压、抑郁症等疾病,都可能与社会压力有关。或者这么说:不解开固定行为模式的奥秘,便没办法预防、治疗许多疾病。

1979年:物理学家+电机工程师

**CT(图片来源于网络)**

动物学好歹跟生理沾点边儿,1979年的诺贝尔生理或医学奖却颁发给了两个研究计算机的。
伦琴发现X射线后,很快有人想到它的医学用途。不过,X射线有一个突出的缺点——想一想皮影戏,人物、道具都薄薄的,对不对?就算做成立体的、增加许多细节,咱们也看不见,都会被挡住。X光机的问题与此相似,一束X射线照到病人胸口,医生看到的既不是前胸、也不是后背,而是从前胸到后背,所有人体组织的”合影“。前面的组织会遮挡后面的组织,让片子变得难以辨认。
1964年,阿兰·科马克(Allan Cormack)提出,一束光不行,我们可以用很多束光嘛。X射线穿透物质后会发生衰减,衰减的幅度跟物质的密度、厚度有关......

详细<<<

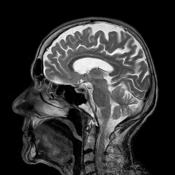
2003年:化学家+物理学家

**核磁共振图像(图源:pixabay.com)**

CT同样有一个非常突出的缺点:它的辐射性非常强。这似乎是个死结:不用CT,看不到患者身上的病变;运用CT,多少会有一点辐射,用多了,也有可能损害健康。

2003年的诺贝尔生理或医学奖,便颁发给了解决这个问题的人:保罗·劳特伯(Paul Lauterbur),化学家;彼得·曼斯菲尔德(Peter Mansfield),物理学家。

正常的生理反应、正常的细胞,各种疾病的发生、演变,都离不开水分。劳特伯发现,水分子里的氢原子核,具有磁性。正常情况下,氢原子核们彼此聚集,磁性互相抵消。如果的施加一个较强的磁场,便如同往铁粉中放入一块磁铁,氢原子会在磁力的作用下乖乖排队。随后,曼斯菲尔德进一步发现,如果在此时加入一个脉冲,不同位置的氢原子会显现出不同的变化,而这种变化,可以被测量。
经两位大神之手,便诞生另一种极其常见的设备:核磁共振机(MRI)。比之于CT,MRI有两个优点......
详细<<<

如果没有DDT,过去百年间会有数以千万的人死去;如果没有动物行为学,我们很难了解社会对人的影响,也就很难有效治疗抑郁症;没有CT、MRI,要想知道患者身上哪里出了问题,恐怕只能等患者死后进行解剖……为什么诺贝尔生理或医学奖偶尔会颁发给一些”外行人“?因为,呵护人类健康,离不开各领域的通力合作。

作者简介

赵言昌,临床医学专业,科普作者、科普爱好者,曾获蝌蚪五线谱举办的2018年度「科普创客大赛」文章类三等奖。

栏目简介

《妙想科学》栏目,奇思妙想,以趣味科学主题,集结天下万物。